PTCOG总结之二:质子给年轻乳癌患者带来曙光(附研究数据)

重离子质子讯,乳腺癌一直都是质子治疗的禁区,但在此次PTCOG54大会的学术交流及对承办方scripps质子中心的访问考察中,却令人惊喜的发现,质子对治疗乳腺癌已经出现了巨大的突破。尤其对于年轻乳腺癌患者来说,在保乳手术的前沿下,质子放疗可以获得接近治愈的机会和希望。
PTCOG54中国唯一参展机构携康国际的董事长顾欣接受了重离子质子的专访,为我们梳理和总结本次大会的亮点,乳腺癌的技术进展是其中之一。另外,我们附录了质子治疗乳腺癌的临床研究资料汇总。访谈的完整视频版将在携康国际网站上发布(cn.xkmed.com),敬请关注。
以下是访谈原文:
重离子质子:这次考察了scripps质子中心,感觉在乳腺癌的治疗上有特点和优势?
顾欣:每家质子中心都有自己的优势,像德国慕尼黑质子中心对移动靶区的治疗是处在世界前沿的,而美国scripps质子中心对乳腺癌的治疗有着明显的优势。

scripps质子中心外观
第一,他们对质子治疗乳腺癌有丰富的经验。
第二,很重要的一点就是价格,我们谈到了很优惠的价格,能够让中国患者节约医疗费用的。
第三,scripps是一个全新的质子中心,设施都是一流的。
此外,scripps在乳腺癌质子放疗的定位系统上有独特的优势,因为做乳腺癌的治疗,要想达到一个最优的治疗效果,定位是最重要的。每次照射的位置应该是重合的,但是因为乳腺的特殊形态,他的定位是非常困难的,每次治疗迁到摆位都可能不重合,scripps发明了一种定位的方法(高分子材料的标记物,见下图),所以能够在保障精度的前提下进行,这是非常非常重要的。

帮助乳腺定位的标记物
另外,为了精准的定位,scripps还有大孔径的核磁(见下图),是GE公司专门为他们定制的,使他们的患者能够在治疗的状态下做检查,这个定位系统包括了影像识别、激光的识别,X射线的识别,从这几个方面确保精度。

大孔径核磁
重离子质子:质子治疗乳腺癌是长期对患者有利?
顾欣:短期内确实看不出来与传统放疗的区别,普通放射线对心脏和肺等器官的毒性是长期才能够显现出来,时间越长就越强烈。
所以对于乳腺癌,尤其是年轻的乳腺癌患者,手术配合质子治疗,就显得非常重要。因为年轻的患者患乳腺癌比老年人患乳腺癌的危险程度要高,在治疗上对放射线的剂量要求就更高,照射的范围就更广泛,如果用传统的放射性治疗的话,对心脏和肺的毒性就很大。
另外,年轻人预后的生存期是非常长的,如果对心脏和肺部毒性高的话,会导致患者未来患心脏病、肺部疾病的比例大大提高。甚至心脏和肺部功能的衰减,会成为伴随一生的问题。
所以说乳腺癌的质子治疗是非常非常值得去推广的。这也是为什么美国越来越多的质子中心开始了乳腺癌的治疗项目。
重离子质子:质子治疗乳腺癌社会接受程度如何?
顾欣:从我们昨天在大会上看到的一些数据上看,美国之前的质子治疗主要集中在前列腺癌上,治疗的比例是一度超过了50%,而看最近几年的数据,各个中心前列腺癌的占比越来越低,其他病种的治疗占比越来越高。特别是乳腺癌和儿童肿瘤,占比快速成长,现在已经达到了两位数的增速。
目前,肿瘤医生对乳腺癌质子治疗的认识越来越深。而且,现在已经有一些保险机构开始对质子治疗乳腺癌进行赔付。这就是一种信号,说明这种治疗的价值是非常大的。

每个患者治疗成功后都会敲钟庆祝 董雷教授演示
重离子质子:保乳手术必须配合放疗,是否全乳切除手术就不需要放疗?
顾欣:并不是全乳切除手术就不需要放疗,需不需要放疗是和患者的病理及分期相关的,实际上即使是全乳切除也是需要放疗的。因为很多乳腺癌患者都是需要大面积放疗,包括对腋下淋巴也要做放疗,也正是因为如此,才会对心脏和肺部产生毒性。
保乳手术就更不用讲,一定是需要放疗的,为什么我们国家的保乳手术推广的并不是很好,就是因为我们国家的放疗技术还没有达到这么高的水平,或者说没有这么多的医院拥有放疗技术。
在我们目前看到的很多文献中,用质子放疗配合手术治疗,可以让很多的乳腺癌患者受益,一个是治愈了乳腺癌,一个是在治愈后大幅度提升了生活质量。由此可以看出,未来的保乳手术将拥有一个非常有力的伴侣。所以说用保乳手术和质子治疗,可以再很大程度上解决乳腺癌的治疗问题。

scripps质子中心的治疗室
重离子质子:复发是乳腺癌死亡率的主要原因,质子是否可以控制复发?
顾欣:传统放疗在乳腺癌复发后是很难再实施的,但是质子还是可以做局部的照射,昨天在和scripps的乳腺方面的专家Andrew Chang交流是,他也特意讲了一些这样的案例。
实际上,乳腺癌的复发也是和传统治疗手段上的不完整是有关系的,我认为主要还是后续的放疗问题,照射的范围和剂量不足。现在有了质子之后,医生就可以大胆的照射,提高更高的剂量。
另外,现在对仅仅需要局部质子治疗的患者来说,治疗的时间也非常短,需要两周就可以了。全乳的质子治疗则一般需要四周。

与Andrew医生交流乳腺癌话题
重离子质子:质子治疗乳腺癌的费用比较高,是锦上添花的项目?
顾欣:质子治疗的费用的确比传统放疗要贵,但是我们和scripps质子中心就手术后质子治疗进行了谈判,我们从医院拿到了一个针对中国乳腺癌患者的优惠价格政策,这个价格虽然比国内的传统放疗价格要高,但比其他肿瘤在美国的质子治疗要便宜三分之二左右。因为在美国,很多医院的质子治疗都要15万到20万美金左右。
本文摄影:李征、肖阳
附录:乳腺癌质子治疗研究资料汇总
中国是乳腺癌发病率增长最快的国家之一,发病率正以每年3%的速度递增,并成为城市中死亡率增长最快的癌症。此前,高大上的质子技术一直将无法进行固定的乳腺癌视为治疗的禁区。
随着质子笔形束技术突飞猛进的发展,以美国Scripps为代表的质子中心在乳腺癌的质子治疗领域中取得了里程碑式的进展,众多乳腺癌患者从此有了选择质子治疗的机会。质子可以在杀灭肿瘤的同时,大幅降低对心肺等重要脏器的伤害与长期隐患。
目前,Scripps质子中心正在与携康国际(XKmed)开展紧密的合作,为中国患者赴美治疗提供支持与帮助。
我们从各个渠道收集了质子治疗乳腺癌方面的数据、案例并访谈了Scripps首席物理师董雷教授,以下是这组系列文章的第一篇。

乳腺癌质子治疗之一:与传统放疗相比大幅降低心肺伤害
1、为什么“慢性病”乳腺癌也有高死亡率
(1)中国增速已经超过发达国家
全球乳腺癌发病率自20世纪70年代末开始一直呈上升趋势。美国8名妇女一生中就会有1人患乳腺癌。中国近年乳腺癌发病率的增长速度却高出高发国家1~2个百分点。目前,已经位居女性恶性肿瘤的第1位。
(2)复发之后的治疗困境 是高死亡率的重要原因
目前,中国乳腺癌死亡率高于欧美,在美国的肿瘤患者中,乳腺癌死亡率已经位居第二,仅次于肺癌。复发是造成乳腺癌高死亡率的一个重要原因。据相关数据显示,中国乳腺癌的复发率已高达50%。而乳腺癌一旦出现复发或转移,将大大增加其治疗的难度,并直接威胁患者的生命。
(3)复发与转移后的生存数据
有数据调查数据显示,乳腺癌发生转移后,患者的生存率将明显降低,例如骨转移5年的生存率为16%左右,肺转移的5年生存率为12%左右,而肝转移的5年生存率几乎为零。一项国际大型调查结果显示,70%的专科医师认为,对于那些曾接受早期乳腺癌治疗的女性来说,复发和转移的恐惧甚至超过她们第一次得知自己罹患乳腺癌。

2、为什么乳腺癌需要放射治疗
(1)放疗降低50% 的复发风险
相关统计表明,40%以上的乳腺癌患者手术之后,仍需要进行放疗以免复发。放射治疗已被证明可降低50%的复发风险( Lancet. Nov 12 2011; 378(9804): 1707-16 )
(2)保乳手术后必须放疗
保乳手术后必须放射治疗,放射治疗是治疗早期乳腺癌和导管癌的一种十分重要的保乳治疗方式,与单纯的局部切除相比,能够显著降低局部复发的可能性。
(3)淋巴转移与晚期患者需要放疗
放射治疗也常常在乳房切除后用于治疗大肿瘤或淋巴结转移。 另外,晚期乳腺癌患者很难选择介入手术,放疗是可以选择的治疗手段。
(3)手术与化疗的弊端
手术的主要缺点是癌症可能会转移到周围组织;手术可能难以全清癌症组织,尤其是晚期癌症。 而单一的系统治疗很难能完全治愈癌症;通常是作为辅助治疗联合手术或放射治疗使用,另外,一些系药物也能导致心脏毒性。
3、为什么传统放疗会有难以逾越的缺陷
(1)传统放疗毒副作用概况
当使用传统的X线治疗技术(括现代调强适形X线治疗)时,主要的副作用是长期的心源性死亡(5-10%)、淋巴水肿(5-20%)、纤维化、皮炎,以及继发性癌症。
(2)传统放疗对心脏的影响
早期乳腺癌试验协作组(EBCTCG)的研究,在78个随机治疗比较中对42000女性进行评估 。它表明接受照射女性的对侧乳腺癌(继发性癌症)发病率显著增高和非乳腺癌死亡率显著上升。 高值的死亡率主要来自心脏疾病和肺癌。
上海瑞金医院放疗科主治医师赵胜光在一篇文章中指出,在长期的随访中发现,放疗提高总生存率的作用被其造成的心脏损伤以及其他副作用部分抵消了。放疗造成的心脏毒性按照时间来分可以分为短期心脏毒性和长期心脏毒性,长期心脏毒性通常要在放疗后数十年内发生。
英国牛津Radcliffe医院的Rory Collins博士等在柳叶刀杂志上发表的一篇文章称,放疗却使乳腺癌之外的死亡率升高,治疗两年后放疗使与乳腺癌无关的年度死亡率上升21%,其中多数死于心脏病。

(3)传统放疗对冠状状动脉狭窄的影响
Nilsson等人的研究表明,2168位妇女在1958年到2001年间曾接受X线技术治疗 ,963位妇女发生主冠状动脉事件(MCE) 由于心脏的中位剂量在无明显界值下每格瑞增高7.4%,不良事件发生率直线增高。

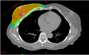
(4)IMRT调强放疗增加了心脏的平均剂量
14位患者的(a)调强适形放疗和(b)三维适形放疗计划的心脏剂量分布图。 尽管,对于剂量大于30Gy的治疗调强适形放疗的心脏剂量是最小的,但与三维适形放疗计划相比,平均和中位心脏剂量却升高了。

(5)传统放疗带来的继发性恶性肿瘤等副作用
乳腺癌治疗后,放射引发的Berrington de Gonzalez, et al. 估算出乳腺癌照射后,5%的对侧乳腺癌发生继发性癌症 。杜克大学的Prosnitz 等人 采用SPECT进行灌注研究。它表明在左侧乳腺癌X线照射一段时间后, 心脏的新灌注缺陷显著增高。 左心房照射面积越多,灌注缺陷发病率越高。
4、质子治疗乳腺癌的优势
(1)心脏或前降动脉(LAD)剂量更低,降低了心源性死亡风险
(2)肺部剂量低,降低肺炎风险
质子在乳腺癌治疗中有着明显的优势,能够降低心脏或前降动脉(LAD)剂量及心源性死亡风险,而最新的IMPT技术,让质子治疗更加如虎添翼。
1、认识IMPT
(1)什么是IMPT
IMPT即适形调强质子治疗,是目前质子治疗领域的最新技术之一,拥有与 IMRT 进行传统 X 射线放射治疗相同的方式改善剂量分布的能力。这意味着质子治疗过程中,能够在保护健康组织的同时,对癌性肿瘤施以最佳的剂量。

(2)IMPT的特色
IMPT 的目的是调整剂量分布,以便全方位配合靶向肿瘤的形状。对复杂的肿瘤形状特别有用,如头颈部肿瘤、下腹部曲线形肿瘤以及包着脊髓或脑干的肿瘤。”
(3)笔形束与IMPT的结合
Varian 的 ProBeam 系统整合了笔束扫描技术,能优化治疗区域内每个点的剂量。ProBeam Compact包含一个节省空间的回旋加速器、Dynamic Peak扫描技术、一个全方位旋转的机架、机器人患者定位工具和一整套运动管理工具。
(4)IMPT的全球分布
全球首个IMPT临床治疗中心是德国慕尼黑质子中心(RPTC)。最新的一家是美国圣地亚哥的 Scripps质子中心,该中心采用的是瓦里安的最新一代的设备并在治疗室配备最新的扫描(PET、CT、MRI)设备。

2、IMPT治疗乳腺癌的优势
(1)相比质子散射法,IMPT的优势:
同时集成的升压技术(实际肿瘤剂量比临床靶区剂量更高),照射到患者的中子剂量低,降低继发性恶性肿瘤/继发性癌症的风险 ,同时比被动散射质子治疗更好的保护皮肤 。
(2)全乳和淋巴结治疗中的优势:
IMPT能更好的保护心脏和肺

(3)局部乳腺放疗中的优势:
IMPT制定的计划比被动散射质子治疗更好。表面的束线角度能更好耐受器官移动和具有更好靶区覆盖以及保护正常器官的优势。

3、IMPT在乳腺癌治疗中的应用
(1)早期:调强局部乳腺放疗(APBI)
早期 (0 – II), 肿瘤 < 3cm,34-40 Gy 分为10次 (每日: 2 周的治疗 或者 BID:一周的治疗 )

(2)晚期:采用传统分割计划的IMPT
晚期 II-III, 术后, 未出现全乳转移, 或者胸壁淋巴结照射;45-50 Gy 分为25-28次 (~6 周)

(3)其他适合质子治疗的乳腺癌患者类型
医疗上无法手术的患者 、接受过隆乳术的患者、曾接受过局部乳腺放疗、解剖结构极特殊的患者、由于肿瘤的大小和位置不适合保乳手术的患者等
乳腺癌质子治疗概述
认识乳腺癌
乳腺癌是发生在乳腺腺上皮组织的恶性肿瘤,它是第二大癌症死亡原因,仅次于肺癌。
乳腺肿瘤通常发生在乳房的小叶和导管中,小叶和导管用于在生产和输送的母乳使用。乳腺癌是女性除皮肤癌之外最常见的癌症。男性也易罹患乳腺癌,尽管该疾病在男性中非常罕见
与其它癌症一样,乳腺癌尽早治疗能够达到最好的疗效,而使用质子治疗能够减少照射区域保护正常,健康的器官。这对左乳癌患者尤为重要,左乳靠近关键器官,如心脏,肺。
乳腺癌的临床表现
乳腺癌的临床表现多样化,早期的乳腺癌通常没有疼痛感和症状,有些乳腺癌可能没有的症状和体征,大多数乳腺癌有如下临床表现:
•乳房肿块
•腋窝淋巴节肿
•乳房的大小,形状,皮肤的质地和颜色改变
•皮肤发红
•乳头溢液,糜烂,回缩或触痛
•酒窝症或橘皮样改变
如有上述症状持续发生,请马上看医生
乳腺癌的检查
医生推荐乳腺癌的检查进行鉴别诊断。他们可能会建议以下几种检查:
•乳房体检:医生检查两侧乳房是否肿块或异常。
•乳房X线:一种乳房X线检查被用于鉴别诊断乳房肿块。
•乳腺超声:一种声波被用于在体内产生结构的图像。乳腺超声检查用于鉴别诊断乳 房中是否有固体或液体的的肿块。
•乳房活检术:一种活检术用于获取乳房细胞组织确诊该细胞是否是癌性的。
•乳房的MRI:用磁性和无线电波产生乳房图像。一个MRI有助于更好地识别乳房肿块或评估乳房的异常变化。
•前哨淋巴结活检:获取前哨淋巴结,并在显微镜下观察以确诊肿瘤细胞是否存在。它是用来查看癌症是否已经扩散到超出乳房的区域。
质子治疗乳腺癌的优势

针对乳腺癌的治疗质子治疗相对于传统放疗前景更引人瞩目。质子治疗的精度和低冲击力使其成为一种非侵入性和低风险的乳腺癌治疗手段。
质子治疗非常精准,靶向治疗癌性细胞从而保护周围的正常组织。质子治疗不能代替乳房肿瘤切除术。更确切的说,它是用来替代传统放疗的,在乳房肿瘤切除术完成后,乳腺癌患者可以只需要接受10天质子治疗来代替五至六周常规传统放疗。
质子治疗还有其他一些引人注目的优点:
最近有研究表明 左乳癌-X射线治疗会引起心脏疾病。
•质子治疗无创,无痛
•质子疗法可有效治疗早期乳腺癌
•质子治疗恢复时间更快,副作用更小
•相较于传统放疗质子治疗可以减少烧伤,使乳房更美观。
•相较于传统放疗质子治疗更准确,精准。
•可以提供门诊治疗
•质子治疗对患者几乎不会影响患者体力
质子适合哪类乳腺癌
如果你有以下情况,请选择质子治疗
III期乳腺癌患者
需要淋巴结放疗患者
需要接受心脏毒性化疗的患者
有血管合并症,心脏疾病,肺部疾病,及有发生第二恶性肿瘤风险的患者
有不利的解剖结构,正常器官被放疗暴露风险的患者
附:质子治疗儿童肿瘤研究资料汇总
认识儿童肿瘤
目前,小儿恶性肿瘤的发病率逐年上升,成为继意外事故之后致儿童死亡的第二位原因。
中国儿童肿瘤的发病情况缺乏全国性的统计,大约每年有3万儿童罹患恶性肿瘤,其中1/3为白血病,2/3为实体瘤。
儿童实体瘤中占90%以上的是原发性肉瘤和胚胎性肿瘤,常侵犯造血系统、中枢神经系统、交感神经系统、骨和软组织等;最常见的是各种“母细胞瘤”,包括神经母细胞瘤、肾母细胞瘤、视网膜母细胞瘤、尤文氏肉瘤、骨肉瘤等。
中枢神经系统是质子儿童肿瘤治疗中最常见的肿瘤部位。调查发现有4种常见的肿瘤非常适合于质子治疗,分别是室管膜瘤、髓母细胞瘤、低级别的胶质瘤以及横纹肌肉瘤。

国际共识和趋势
目前,针对儿童及青少年肿瘤患者,以质子治疗来代替各种X射线治疗已是国际标准。
英国曼彻斯特一项临床研究显示,接受质子治疗的儿童肿瘤患者(1-19岁)中位随诊40个月中,局部肿瘤控制率分别是:脊索瘤60%、软骨肉瘤100%,横纹肌肉瘤100%,其他肉瘤为60%。
与X射线相比,质子放疗可以提高肿瘤区剂量,同时减少健康组织接受的照射;这对于未成年人来说非常重要。
在日本,医学界正在呼吁将儿童质子放疗纳入医疗保险,因为由于质子明显的治疗优势,在欧美以及韩国,质子线治疗儿童肿瘤的费用都是由国家承担。
在美国,接受质子治疗的患儿总数在增加,从2010年起增加了33%,目前,美国每年大约有6000名儿童肿瘤患者接受放疗,其中大约10%患者接受质子治疗。其中排在前6种最常见的肿瘤为室鼓膜瘤、髓母细胞瘤、低级别胶质瘤、横纹肌肉瘤、尤文氏肉瘤和颅咽管瘤。
在德国,已被证实可减少早期副作用和晚期影响的儿童质子治疗推动了德国肿瘤放射学协会(DEGRO),使之在2008 年就广泛推荐以质子代替光子治疗儿童肿瘤。

传统治疗手段的优势与不足
对于中枢神经系统的儿童肿瘤患者来说,手术很难将肿瘤完全切除干净,因此面临着不断复发的风险。在这个领域中,药物治疗也未见明显优势和突破。
放疗是治疗儿童肿瘤尤其是中枢系统肿瘤的最佳选择之一。因为大部分儿童肿瘤属于胚胎性肿瘤,对放射线敏感,放射治疗效果明显。据权威资料统计,约50%的儿童肿瘤患者需放射线治疗。
放疗不但可以治疗原发肿瘤,还能够摧毁潜在的亚临床病灶。
但儿童放射线治疗与成人有两大不同点:第一,放射线治疗易产生不良反应,甚至会加重患儿病情。即使采用低剂量照射,引起第二原发癌、成长障碍以及功能缺失的风险也较高。
第二,儿童肿瘤需要的照射剂量相对较低,但照射的体积相对较大,很多患者被切除的肿瘤周围的大范围组织都需要接受放疗,尤其是髓母细胞瘤全颅全脊髓的放疗。但是常规放射线治疗在人体浅表处剂量高,具有穿透人体的特点,照射面积广,因此它对健康组织的辐射也是一个致癌原。而且儿童及青少年的生长发育快,预期寿命长,儿童肿瘤患者比成人对辐射诱发肿瘤更易感,极易发生放疗损伤及第二原发癌。
质子治疗优势:减少辐射与降低第二原发癌
儿童和未成年人身体组织接受的非致死照射剂量称为“边际损失”。照射诱发的二次癌发病几率在治疗后的每一年内为1%。
传统放疗(X线)对儿科脑肿瘤来说,出现由放射导致的二次肿瘤的风险达是25%,质子在肿瘤外部所释放的放射源以及二次癌症的可能性被降低, 这对儿童来讲是十分重要的。
在一项对光子治疗和质子治疗进行比较的研究中,在对3岁7个月大的男孩实施质子治疗的案例中,发现内耳的暴露剂量可以从 100% 降至 2.4% ,脑垂体由62%降至 0.1% ,心脏的暴露剂量由18%降至0.1%。 洛玛连达大学一项关于儿童颅内肿瘤质子束放疗的耐受性试验也支持了这个结果。
质子治疗的临床数据:
髓母细胞瘤
髓母细胞瘤是最常见的儿童脑肿瘤,占所有儿童脑肿瘤的15% ~20%。
St. Clair等在2004年报道了使用光子、IMRT或质子对一名髓母细胞瘤患者进行全颅全脊髓照射和后颅窝推量照射的治疗计划比较。对后颅窝推量照射中,90%耳蜗接受的照射剂量从光子适形治疗的处方剂量的101%,IMRT降到33%,质子治疗降到2%。心脏50%体积剂量则从光子治疗的处方剂量的72%,IMRT降到30%,质子治疗降到0.5%。
横纹肌肉瘤
横纹肌肉瘤(RMS)是间质来源的一种恶性肿瘤,是儿童软组织肉瘤中最常见的一种。
据J Clin Oncol报道,应用质子束疗法治疗横纹肌肉瘤(RMS)可得到与光子治疗相似的5年局部控制率和生存期,并且毒性反应情况良好。中位随访47个月后,57例患者的5年局部控制率为81%,无事件生存率(EFS)为69%,总生存率78%。低风险患者的5年局部控制率为93%。

儿童颅咽管瘤
颅咽管瘤是一种儿童脑肿瘤, 肿瘤完全切除有治愈的希望,但是只有50-80%的患者可以接受手术完全切除,但即使完全切除仍有一部分患者可能复发。此外,有10%的手术患者存在视觉损伤等。在这些敏感部位,质子可以进行治疗。
Fitzek等保德路一个早期的队列研究,中位随访13.1年,视觉10年存活率为72%,实际5年和10年局部控制率为93%和85%。
视网膜母细胞瘤
视网膜母细胞瘤是儿童眼内最长久的恶性肿瘤,外照射放射治疗的局部控制率良好,能够保留眼球和视力。美国一家癌症中心的一项研究显示,视网膜母细胞瘤患者的8年局部控制率为84%。
低级别胶质瘤
低级别胶质瘤占儿童恶性肿瘤的10%,通常适用外科切除,但有些部位的切除手术会带来失明或严重的并发症,放射治疗的5年生存率在80%以上。

儿童脊索瘤和软骨肉瘤
瑞士保罗谢尔研究所的一向26位儿童肿瘤患者研究中,接受质子治疗时的平均年龄为13.2岁,平均随访时间是46个月。脊索瘤的精确5年局部控制(LC)率是81%,软骨肉瘤是80%。脊索瘤的精确5年整体生存(OS)率是89%,软骨肉瘤是75%。
对于可以用传统放疗治疗的儿童,青少年和年轻成人癌症和非癌性肿瘤的,质子治疗也是一个极好的选择。患有脑,头,颈,脊髓,心脏,肺及其它区域的肿瘤并对放疗敏感的儿童可以从质子治疗中获益。因为医生可以直接靶向治疗相关肿瘤区域。
患有以下类型的儿童可以用质子治疗, 它们包括:
星形细胞瘤
脑肿瘤
脊索瘤
颅咽管瘤
室管膜瘤
尤文氏肉瘤
胶质母细胞瘤
神经胶质瘤
颅内生殖细胞肿瘤(生殖)
视神经/丘脑胶质瘤
髓母细胞瘤
脑膜瘤
神经母细胞瘤
视神经肿瘤
视网膜母细胞瘤
原始神经外胚层肿瘤( PNET )
横纹肌肉瘤
骨肉瘤
畸胎瘤
