日本治疗儿童脑干神经胶质瘤患者案例
儿童脑干神经胶质瘤患者案例
制作日期:2021年11月09日
患者档案 :
患儿姓名:H某某
性 别:男
就诊年龄:15岁 (当时)
确诊病名:脑干神经胶质瘤
转移情况:无转移
病理诊断:无
就诊国家:日本
就诊医院:日本国立癌症研究中心东医院
主治医师:秋元 哲夫(副院长、教授)
治疗方法:质子放疗

详细病史:
2021年06月中旬:发现走路轻微左右不稳。
2021年06月20日:发现眼睛双侧视野缩小。
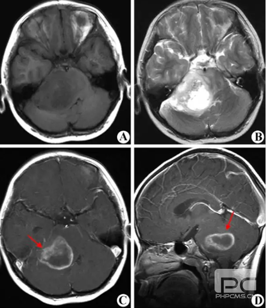
2021年06月21日:经天津环湖医院头部MR检查显示:脑桥肿胀伴异常信号;右额硬
膜下异常信号;左侧上颌窦囊肿。经主任医师诊断为“脑干胶质瘤,手术无机会”。
2021年06月下旬:找到北京天坛医院张俊廷主任,诊断与环湖医院相同。又先后去天津
肿瘤医院找李文良主任,市儿童医院张玉琴主任,诊断均与环湖医院一致。
2021年07月08日:经头颅MR检查诊断:考虑脑干占位性病变。

2021年07月24日:经头颅MR检查诊断:脑干占位性病变,考虑胶质瘤可能。

国际会诊:
2021年07月29日:通过与日本国立癌症研究中心东医院秋元哲夫教授,关于质子治疗的会诊回复:
申请日本医疗签证:
患者家属在经过仔细考虑后,最终同意赴日进行质子放疗。并由我方协助,于2021年8月中旬顺利拿到日本医疗签证。
国外治疗:
2021年08月11日: 患者及家属顺利拿到了日本医疗签证,前往日本国立癌症研究中心东医院,准备接受关于质子放疗前的检查及治疗。

跟踪复查:
经日本国立癌症研究中心东医院质子治疗后,患儿于2022年3月7日在中国进行第1次复查:
2022年3月7日颅脑MRI平扫,肿瘤进行质子治疗后按照预期逐渐缩小。
