日本体检,出国体检,早癌筛查,美国看病,德国看病,日本看病,出国就医中介
主页 > 真实案例 >
  • 骶骨脊索瘤第 2 次切除术后案例【脊索瘤手术】

    骶骨脊索瘤第 2 次切除术后案例【脊索瘤手术】

    内容简介: 患者档案:性别:男就诊年龄:61岁(当时)病名:骶骨脊索瘤第 2 次切除术后病理诊断:脊索瘤就诊国家:日本就诊医院:日本国立癌症研究

    详细资料 骶骨脊索瘤第 2 次切除术后案例【脊索瘤手术】

  • 5岁女孩神经母细胞瘤伴多发转移术后案例

    5岁女孩神经母细胞瘤伴多发转移术后案例

    内容简介: 患者档案:性别:女就诊年龄:5岁(当时)病名:神经母细胞瘤伴多发转移术后病理诊断:(腹膜后)节细胞神经母细胞瘤就诊国家:日本就诊医

    详细资料 5岁女孩神经母细胞瘤伴多发转移术后案例

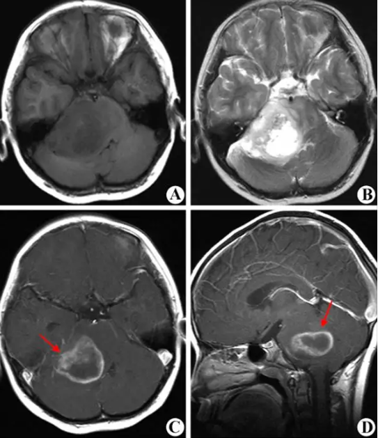
  • 9岁女孩髓母细胞瘤切除术后案例【髓母细胞瘤切

    9岁女孩髓母细胞瘤切除术后案例【髓母细胞瘤切

    内容简介: 患者档案:性别:女就诊年龄:9岁(当时)病名:髓母细胞瘤切除术后病理诊断:经典型髓母细胞瘤(CNS WHO Ⅳ级),非 WNT 非 SHH 型,

    详细资料 9岁女孩髓母细胞瘤切除术后案例【髓母细胞瘤切

  • 髓母细胞瘤术后案例【髓母细胞瘤】9岁髓母细胞瘤术

    髓母细胞瘤术后案例【髓母细胞瘤】9岁髓母细胞瘤术

    内容简介: 患者档案:性别:男就诊年龄:9岁(当时)病名:髓母细胞瘤术后病理诊断:经典型髓母细胞瘤就诊国家:日本就诊医院:日本国立癌症研究中心

    详细资料 髓母细胞瘤术后案例【髓母细胞瘤】9岁髓母细胞瘤术

  • 左额叶肿瘤切除术后案例【左额叶肿瘤】7岁左额叶肿瘤切除

    左额叶肿瘤切除术后案例【左额叶肿瘤】7岁左额叶肿瘤切除

    内容简介: 患者档案:性别:男就诊年龄:7岁(当时)病名:左额叶肿瘤切除术后病理诊断:伴 BCOR 内部串联重复的中枢神经系统肿瘤就诊国家:日本就

    详细资料 左额叶肿瘤切除术后案例【左额叶肿瘤】7岁左额叶肿瘤切除

  • 髓母细胞瘤术后案例【髓母细胞瘤】9岁髓母细胞瘤术

    髓母细胞瘤术后案例【髓母细胞瘤】9岁髓母细胞瘤术

    内容简介: 患者档案:性别:男就诊年龄:9岁(当时)病名:髓母细胞瘤术后病理诊断:经典型髓母细胞瘤就诊国家:日本就诊医院:日本国立癌症研究中心

    详细资料 髓母细胞瘤术后案例【髓母细胞瘤】9岁髓母细胞瘤术

  • 后颅窝室管膜瘤日本治疗案例【后颅窝室管膜瘤】6岁男童后

    后颅窝室管膜瘤日本治疗案例【后颅窝室管膜瘤】6岁男童后

    内容简介: 患者档案:性别:男就诊年龄:6岁(当时)病名:后颅窝室管膜瘤切除术后病理诊断:室管膜瘤(PFA 型),WHO 3 级就诊国家:日本就诊医院

    详细资料 后颅窝室管膜瘤日本治疗案例【后颅窝室管膜瘤】6岁男童后

  • 髓母细胞瘤日本治疗案例【髓母细胞瘤】髓母细胞瘤切除术

    髓母细胞瘤日本治疗案例【髓母细胞瘤】髓母细胞瘤切除术

    内容简介: 患者档案:性别:男就诊年龄:7岁(当时)病名:髓母细胞瘤切除术后病理诊断:经典型髓母细胞瘤就诊国家:日本就诊医院:日本国立癌症研究

    详细资料 髓母细胞瘤日本治疗案例【髓母细胞瘤】髓母细胞瘤切除术

  • 脑室室管膜瘤日本治疗案例【脑室室管膜瘤】6岁女童第四脑

    脑室室管膜瘤日本治疗案例【脑室室管膜瘤】6岁女童第四脑

    内容简介: 患者档案:性别:女就诊年龄:6岁(当时)病名:后颅窝室管膜瘤复发切除术后病理诊断:室管膜瘤(PFA 型),WHO 3 级就诊国家:日本就诊

    详细资料 脑室室管膜瘤日本治疗案例【脑室室管膜瘤】6岁女童第四脑

  • 黄XX_儿童神经胶质瘤案例

    黄XX_儿童神经胶质瘤案例

    内容简介:   儿童神经胶质瘤患者案例  制作日期:2021年8月30日  患者档案 :  患儿姓名:H某某  性 别:女  就诊年龄:3岁 (当时) 

    详细资料 黄XX_儿童神经胶质瘤案例

  • 韩某某_儿童脑干神经胶质瘤案例

    韩某某_儿童脑干神经胶质瘤案例

    内容简介:   儿童脑干神经胶质瘤患者案例  制作日期:2021年11月09日  患者档案 :  患儿姓名:H某某  性 别:男  就诊年龄:15岁 (

    详细资料 韩某某_儿童脑干神经胶质瘤案例

  • 王某-成人脑膜瘤案例

    王某-成人脑膜瘤案例

    内容简介:   脑膜瘤患者案例  制作日期:2021年9月2日  患者档案:  患者姓名:W女士   就诊年龄:55岁(当时)  确诊病名

    详细资料 王某-成人脑膜瘤案例

  • 许某-儿童脊索瘤术后案例

    许某-儿童脊索瘤术后案例

    内容简介:   儿童脊索瘤术后案例  制作日期:2022年11月14日  患者档案:  患儿姓名:许 佳鑫(姓名需隐私保护)  性别:女  就诊年龄:9

    详细资料 许某-儿童脊索瘤术后案例

  • 董某-成人脊索瘤术后案例

    董某-成人脊索瘤术后案例

    内容简介:   成人脊索瘤术后案例  制作日期:2022年11月16日  患者档案:  患儿姓名:董 某  性别:女  就诊年龄:47岁(当时)  病名

    详细资料 董某-成人脊索瘤术后案例

  • 日本治疗腺泡型横纹肌肉瘤治疗案例

    日本治疗腺泡型横纹肌肉瘤治疗案例

    内容简介:   患者档案:  患儿姓名:吴 某某  性别:男  就诊年龄:9岁(当时)  病名:(右侧鼻腔)横纹肌肉瘤术后、化疗

    详细资料 日本治疗腺泡型横纹肌肉瘤治疗案例

  • 秋元哲夫质子放疗儿童横纹肌肉瘤术后复发案例

    秋元哲夫质子放疗儿童横纹肌肉瘤术后复发案例

    内容简介:   患者档案:  患儿姓名:谢 某某  性别:男  就诊年龄:7岁(当时)  病名:先天性横纹肌肉瘤术后复发  病理诊断:左侧扁桃

    详细资料 秋元哲夫质子放疗儿童横纹肌肉瘤术后复发案例

  • 日本国立癌症研究中心东医院治疗儿童横纹肌肉瘤患者故事

    日本国立癌症研究中心东医院治疗儿童横纹肌肉瘤患者故事

    内容简介:   患儿信息:  患儿姓名:L某某  性 别:男  就诊年龄:4岁 (当时)  确诊病名:左眼结膜横纹肌肉瘤术后  转移情

    详细资料 日本国立癌症研究中心东医院治疗儿童横纹肌肉瘤患者故事

  • 赵某某左肺恶性肿瘤化疗后日本治疗肺恶性肿瘤

    赵某某左肺恶性肿瘤化疗后日本治疗肺恶性肿瘤

    内容简介:   患者档案:  患儿姓名:赵某某  性别:男  就诊年龄:62岁(当时)  病名:左肺恶性肿瘤化疗后  病理诊断

    详细资料 赵某某左肺恶性肿瘤化疗后日本治疗肺恶性肿瘤

  • BNCT硼中子俘获疗法治疗头颈部癌已经纳入医保

    BNCT硼中子俘获疗法治疗头颈部癌已经纳入医保

    内容简介: 日本南东北BNCT硼中子俘获疗研究中心,于2016年1月开始的以复发性恶性神经胶质瘤(脑肿瘤:登记数24例)及头颈部癌(无法手术的局部复发性

    详细资料 BNCT硼中子俘获疗法治疗头颈部癌已经纳入医保

  • BNCT硼中子俘获疗法治疗的完全有效率非常高

    BNCT硼中子俘获疗法治疗的完全有效率非常高

    内容简介: 截止2021年9月16日,日本南东北BNCT硼中子俘获治疗中心共开展了98次治疗(医疗保险患者)。其中,3月15日前接受过治疗并且经过3个月以上观

    详细资料 BNCT硼中子俘获疗法治疗的完全有效率非常高

  • 日本治疗儿童眼眶横纹肌肉瘤患者故事

    日本治疗儿童眼眶横纹肌肉瘤患者故事

    内容简介: 儿童眼眶横纹肌肉瘤患者故事  制作日期:2021年11月15日  患儿信息:  患儿姓名:L某某  性 别:男  就诊年龄:4岁 (当时) 

    详细资料 日本治疗儿童眼眶横纹肌肉瘤患者故事

  • 日本治疗儿童脑干神经胶质瘤患者案例

    日本治疗儿童脑干神经胶质瘤患者案例

    内容简介: 儿童脑干神经胶质瘤患者案例  制作日期:2021年11月09日  患者档案 :  患儿姓名:H某某  性 别:男  就诊年龄:15岁 (当时)

    详细资料 日本治疗儿童脑干神经胶质瘤患者案例

  • 日本治疗儿童髓母细胞瘤患者案例

    日本治疗儿童髓母细胞瘤患者案例

    内容简介: 儿童髓母细胞瘤患者案例  制作日期:2021年11月09日  患者档案 :  患儿姓名:Y某某  性 别:女  就诊年龄:4岁 (当时)  

    详细资料 日本治疗儿童髓母细胞瘤患者案例

  • 父亲在对抗鼻咽癌的道路上越走越稳-患者家属自述

    父亲在对抗鼻咽癌的道路上越走越稳-患者家属自述

    内容简介:   我父亲今年64岁,浙江人,平时身体一向都很好,也很少生病,但是从2018年中旬开始父亲总会感觉鼻咽部有异物感和回吸性鼻涕带血,就这样

    详细资料 父亲在对抗鼻咽癌的道路上越走越稳-患者家属自述

  • 老年患前列腺癌,质子治疗带来高质量的生活

    老年患前列腺癌,质子治疗带来高质量的生活

    内容简介:   随着老年化以及现代男性平均寿命的延迟,通过对血液的前列腺特异性抗原(PSA)检测发现了很多前列腺癌早期病例。而早期前列腺癌症治愈的

    详细资料 老年患前列腺癌,质子治疗带来高质量的生活

85条 上一页 1 2 3 4 下一页

携康国际

咨询热线:400-811-5152

医疗咨询事业部:北京市朝阳区酒仙桥北路甲10号院205号楼7层

京ICP备09071895号|出国看病

  • 首页

  • 在线咨询

  • 海外医疗,出国看病服务机构,出国看病,跨境医疗

    电话咨询

  • 热点专题

  • 关于我们