黄XX_儿童神经胶质瘤案例
儿童神经胶质瘤患者案例
制作日期:2021年8月30日
患者档案 :
患儿姓名:H某某
性 别:女
就诊年龄:3岁 (当时)
确诊病名:神经胶质瘤术后
转移情况:无转移
病理诊断:(丘脑)弥漫性星形细胞瘤(WHO Ⅱ)
就诊国家:日本
就诊医院:日本国立癌症研究中心东医院
主治医师:秋元 哲夫 (副院长、教授)
治疗方法:质子放疗
详细病史:
2020年07月: 家属发现患儿右手出现抖动及活动异常。通过颅脑MRI检查提示双侧丘脑、中脑、桥脑信号异常,双侧脑室及第三脑室扩大、脑积水,两侧脑室周围间质性水肿。肺部X光片双肺未发现明显实质性病变。
2020年08月14日:经颅脑MRI检查发现左侧桥脑、中脑、双侧丘脑、基底节区及鞍上区占位,MRS提示为肿瘤性病变,考虑弥漫中线区胶质瘤可能性大。幕上脑室积水伴脑脊液外渗。
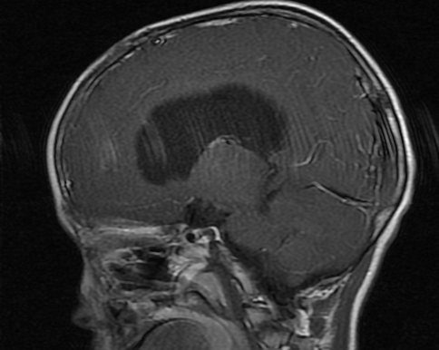
颅脑MRI检查

图1
2020年08月17日:行右侧丘脑病变切除+三脑室底造瘘+硬脑膜修补+ ommaya囊植入术。术后病理诊断为(丘脑)弥漫性星形细胞瘤(WHO Ⅱ),IDH-1(-)、H3K27M(-)。
2020年08月19日:经颅脑CT检查,颅脑肿瘤部分切除术后改变;右侧额颞部软组织肿胀、积气;右侧额骨骨质不连续,右额顶颞骨下积液、积气;右侧额叶积液、积气及积血,拟术后改变;左侧桥脑、中脑、双侧丘脑、基底节区及鞍上区不规则稍高密度影伴局部出血;右侧侧脑室引流管留置;双侧侧脑室扩大、积血,脑脊液外渗。
2021年08月23日:经颅脑CT检查,颅脑肿瘤部分切除术后改变;右侧额颞部软组织肿胀,其内新发血肿形成,积气较前减少;右侧额骨骨质不连续,右额顶颞骨下积液较前稍增多、积气减少;右侧额叶积液大致同前、积气及积血较前吸收、减少;左侧桥脑、中脑、双侧丘脑、基底节区及鞍上区不规则稍高密度影伴局部出血大致同前;右侧侧脑室引流管留置;双侧侧脑室扩大,其内积血较前减少,脑脊液外渗同前。
2020年10月15日:结合(丘脑肿瘤)免疫组化结果考虑为胶质细胞源性肿瘤。
2020年10月30日:病理补充报告(丘脑肿瘤)弥漫性星细胞瘤、WHOⅡ、IDH野生型。H3F3A和HIST1H3B均为阴性。KIAA1549-BRAF融合基因检测结果为阴性。
国际会诊:
2020年10月21日:通过与日本国立癌症研究中心东医院秋元哲夫教授,关于质子治疗的会诊回复:

图2
国外治疗:
2020年12月: 患儿及家属顺利拿到了日本医疗签证,前往日本国立癌症研究中心东医院,准备接受关于质子放疗前的检查及治疗。
2021年01月06日:经质子治疗前,头部CT检查所见:
以双侧丘脑为中心,从中脑双侧内囊后脚至左壳核苍白球发现低浓度病变。
与之前影像相比较,未发现急速增大,作为现阶段的Basalin study(基线研究)检查。
右侧脑室引流管留置。
诊断:神经胶质瘤,Basalin study(基线研究)。

图3
2021年1月25日至3月10日:对该患儿进行了50.40GyE,28次的质子放疗。
图4
图5
质子放疗剂量分布图

图6

图7
2021年03月中旬:患儿顺利完成质子治疗,与家属顺利回国。
跟踪复查:
经日本国立癌症研究中心东医院质子治疗后,患儿于2021年05月12日在中国进行第1次复查:
颅脑MRI检查


图8

图9
2021年05月21日:日本国立癌症研究中心东医院的秋元教授,对国内2021年05月12日的第1次复查给出以下回复:
【原文】
图10
【中文】
我已经确认了该患儿的影像。
与2021年1月治疗前的MRI影像相比较,病灶没有大的变化,并且没有增大倾向。因为治疗结束后刚刚2个月,所以请继续定期复查MRI检查。
秋元哲夫
